Star Child Skull Proved Human, But How Accurate Is DNA Testing?
DNA analysis is widely considered to be the be-all, end-all when it comes to forensic analysis, whether criminal or archeological. The level of technology that we have to sequence DNA is considered highly accurate and can tell us quite a bit about what happened to an organism, even if it is hundreds or thousands of years old. But even if DNA sequencing can pinpoint gender, age and lineage to a high degree of accuracy, getting an authentic sample that isn’t contaminated can be incredibly difficult.
Can DNA Testing Be Wrong?
DNA evidence became popular in criminal cases starting in the 80’s, particularly in the O.J. Simpson trial. DNA tests were considered to be the most conclusive variable in a criminal trial, being the nail in the coffin that could no longer be argued. Until it came to light that a number of labs had made mistakes, leading to wrongful accusations and prison sentences for innocent people, often ruining their lives. So, what happened that led to this epiphany that DNA tests weren’t foolproof?
For a DNA sequencing to be accurate, there are certain criteria that need to be met. You need a large, well-preserved sample of the subject’s DNA, it must be clear how the subject’s DNA arrived at the scene it was found, and the lab must not make any mistakes. If all three of these criteria are met, you should get a pretty accurate result, but meeting them can be incredibly difficult.
In DNA sequencing of humans, a lab doesn’t map the human genome, rather it looks at 13-14 different loci in our genes. Each locus contains two alleles, one inherited from each parent. These alleles differ from person to person, though we share half or more with relatives. It is rare to share more than a few with strangers, making it relatively easy to figure out the lineage of your sample. That is if the DNA samples remain intact and do not break down.

How Accurate Are Archeological DNA Tests?
When it comes to archeology, DNA testing can become more difficult due to the history of your sample and the fact that it has probably been dead for many years. In the process of unearthing a sample and getting it to a lab for testing, there are plenty of steps along the way where it can become contaminated, ranging from: sample collection, shipping, any time its removed from storage and put back into storage, and whenever it’s being tested. Not to mention, who knows whether contamination occurred before the burial or before it was discovered by the archeologist.
Contemporary DNA can easily contaminate a sample, from the archeologist all the way to the lab, sometimes making it nearly impossible for the DNA sequencer to tell the difference between modern and ancient DNA, or aDNA, and this tends to happen often with ancient human material. Even if a sample was contaminated decades ago, it could show the same signs of DNA degradation that would be seen in aDNA patterns. Another issue that is common with aDNA, is the issue of postmortem mutations that increase over time, damaging the DNA from environmental factors.
So, what can be done to prevent contamination from occurring? A laboratory with a well-trained scientist will typically assume that any specimen sent to them has probably been contaminated and will take the necessary steps to remove the contaminated DNA. Usually through a chemical process, the scientist can remove recent contamination, though older DNA can be more difficult.
The Starchild Skull Final DNA Results
Recently, a final report was released that gave the definitive results on the abnormally shaped “Starchild skull.” The skull, which was found in Delicias, Mexico, has confounded researchers for years, due to its oddly-shaped head that seemed to defy any known human deformities. Having been found in an old mine next to a normal human skeleton, there has been conjecture over whether the Starchild could be an alien-human hybrid, or whether it’s simply a deformed child.

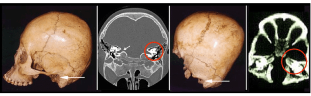
Regular ear canal vs Starchild ear canal
The skull however, showed variations from known mutations and abnormalities like hydrocephaly, such as the lack of the inion region of the skull and the complete flattening of the back of the cranium. Some proposed the theory that the flattening may have come from a practice known as cradle-boarding, though the flattening is significantly more extensive compared to any other skull that had been cradle-boarded. Also, to achieve this level of flattening by cradle-boarding, the child would have been asphyxiated.
The Starchild skull was dated to be 900 years old, while appearing to be around the age of five when it died. Aside from the bulbous cranium, the skull showed shallow, close-set eye sockets that were broken, along with a completely broken and missing jaw. The skull retained its teeth, allowing for an examination from a dentist who helped determine its age.
In 2003, mitochondrial-DNA testing showed that half of its DNA came from the haplogroup C1 – a genetic makeup that originates in Asia near the Caspian Sea, but which is also common to Native Americans whose ancestors probably migrated over the land bridge.
The skull is said to have been found in the 1930s and has changed possession many times since. It has also been examined by numerous scientists, before being subjected to DNA sequencing. In addition, the skull has been polished, varnished, lacquered and cleaned numerous times over the years, all of which doesn’t help in maintaining a sample from which an accurate drawing of DNA could be harvested.
But the most recent tests on the skull have concluded that it is 100 percent human. The paternal half of its genetic origin was said to come from the haplogroup Q which is determinant of Native Americans from South America. Chase Kloetzke and Kerry McClure, the two researchers who were responsible for finalizing the results, have conceded that they believe it is human based on these results. Though they admittedly wanted it to be of extraterrestrial origin and claim they believe the government is covering up knowledge of an extraterrestrial presence, they believe that the Starchild skull came from a deformed human child.

starchild vs average human skull via ancient-origins.com
But what about contamination? Neither Kloetzke, nor McClure mention that their results could have been contaminated, though the results from the DNA lab include it as a possibility. Written clearly on the results page posted on their website, the lab states:
“The combination of replication procedures in place for laboratory sterilization and elimination of Paleo-DNA Laboratory DNA profiles suggest the results are authentic and not contamination. However, no modern comparison samples were submitted with this batch from the archeologists or any other individual who may have handled the sample and potentially contaminated it. Therefore, we cannot guarantee that these profiles are authentic and not a previous handler.”
Could their results be the DNA of someone else with haplogroup C and Q mitochondrial DNA? If the skull had been sitting in Mexico for 900 years, buried shallowly beneath the surface and eventually found in a mine, the chances are pretty good that someone else’s DNA of similar lineage could have wound up on the skull. Not to mention the number of handlers who have touched it since its supposed discovery in the 1930s. Despite the difficulty in tracking down all of the people who have touched it since then, it would have been relatively easy to at least test it against the DNA of those who were known to have touched it.
So, despite the high level of accuracy of DNA sequencing with a legitimate sample, can DNA tests be wrong? The answer is yes, because there are plenty of opportunities for a sample to become contaminated. But despite these possibilities of contamination, it appears that the case has been closed, at least for now, on the ethnic provenance of the Starchild. Or has it?
Did Giant Exist? The Real History of Giants Living on Earth
Humans have long expressed a fascination and fear around the question, “Were there giants on Earth?” Whether in legends or life, giants have been worshipped, reviled, ostracized, and celebrated. Stories of towering beings appear in cultures around the world — from mythology to religious texts — and continue to capture our collective imagination.
While the existence of dinosaurs is backed by extensive scientific evidence, and millions journey to witness massive ancient monuments, the idea that actual human giants — beings over 20 feet tall — once roamed the earth is not supported by any credible scientific evidence. Despite popular claims and persistent folklore, no verified remains, fossils, or historical records confirm the existence of such beings.
That said, the enduring belief in giants raises a compelling question: What were people seeing — or experiencing — that led to these widespread legends? Though giants may not have existed in the literal sense, their presence in stories, symbols, and artifacts points to deeper cultural, psychological, and perhaps even natural explanations worth exploring.
Proof of Giants Throughout History
The concept of giants has been a part of human folklore and mythological narratives for millennia, resonating through various cultures and continents, from the Americas to Africa and from ancient Israel to the Norse. In the Americas, both North and South have indigenous legends speaking of giant beings, some even overlapping with interpretations of megafauna like mastodons that once roamed the land. The Native American tales often include references to a race of giants, which could be considered a cultural memory of these large prehistoric animals.
In Biblical Text
The biblical references, such as those found in the Book of Genesis, speak of the Nephilim, who are often portrayed as giants or mighty warriors and described as the offspring of the “sons of God” and the “daughters of men”. Nephilim have been subject to much interpretation, with some considering them metaphorical giants while others believe in their literal existence. David’s battle against Goliath is one of the most iconic stories of a human overcoming a giant from the Bible.
Around the World
From Africa to Germany, as well as in the Norse traditions of Europe, tales of giants are common, often tied to the creation myths and early histories of peoples. Native American folklore across various tribes frequently speaks of giants, who are depicted as powerful spirits or ancestors that roamed the land, some of whom interacted with the people, teaching or challenging them. In Egyptian mythology, the giant Geb, the god of the Earth, was often depicted as a colossal figure whose laughter was believed to cause earthquakes and whose body formed the hills and valleys of ancient Egypt. Perhaps no culture is more richly intertwined with tales of giants than that of the Greeks, from the gods of Olympus to their offspring, such as the Cyclops.
Giant Skeletal Remains
The Smithsonian Institution in the United States, along with other scientific bodies, has been involved in the study of large humanoid bones that have been discovered, often shrouded in mystery and sometimes labeled as hoaxes. Newspaper articles from the 19th and early 20th centuries in New York and California frequently featured stories of giant skeletons unearthed, fueling speculation about ancient giants on Earth.
Extraterrestrial Theories
Theories about ancient aliens, as seen in various full episodes of Beyond Belief or popular documentaries, sometimes suggest that these giants were extraterrestrial visitors, while others propose that they were simply larger human beings that lived in ancient times.
Skepticism remains high, with many of these stories considered hoaxes or misinterpretations of archaeological findings. The search for evidence continues, with enthusiasts combing through books, historical newspaper articles, and religious texts like the Christian Bible and the Book of Enoch for clues.
Scientific Constraints: The Square-Cube Law
Despite the richness of folklore and speculation, biology and physics place hard limits on the plausibility of giants as described in myths. One critical constraint is the square-cube law — a principle in biomechanics that explains why extremely large human-like beings could not physically exist. As a creature’s size increases, its volume (and therefore its mass) grows faster than its surface area. For humans, this means that as height increases, the weight increases exponentially — but the strength of bones and muscles, which depends on cross-sectional area, does not scale at the same rate.
In practical terms, a human scaled up to 20 feet tall would weigh many times more than their skeleton and muscles could support. The heart and circulatory system would also be unable to efficiently deliver oxygen through such a large body. This fundamental law of nature makes the existence of towering humanoid giants biologically unfeasible — regardless of stories or legends to the contrary.
Modern Giants, A Brief Look at Gigantism
Merriam-Webster defines a giant as being a “legendary humanlike being of great stature and strength,” as well as “a living being of great size.” In physical terms, a giant is a person over seven feet tall with a condition known as “gigantism.” The tallest person documented in modern history was Robert Wadlow (1918-1940), known as the “Alton Giant,” or the “Giant of Illinois,” who stood 8 feet 11 inches tall.

Robert Wadlow, the Alton Giant
Wadlow intended to study law but lived as a celebrity after traveling with the Ringling Brothers Circus and as a spokesman for giant-sized shoes. He died at a young age, an all too common end for those with gigantism — their weight and size put constant strain on the heart and skeletal system.
Today, genetic giants are gaining acceptance because, overall, humans have evolved into a taller species. According to Max Roser, an economist studying global standards of living conditions, between 1810 and 1980, European male height grew from an average of 160 centimeters to 185 centimeters. But despite this acceptance, giants can still find life in a normal-sized world stressful and lonely and, like Wadlow, are treated as an oddity. This contradiction doesn’t exactly mirror how giant races have been regarded throughout history.
Were there Giants on Earth?
In the realm of archaeology and anthropology, there is no credible evidence to suggest that a race of giants once roamed the Earth. Large bones often claimed to be from giant humans are usually identified as remains of prehistoric animals such as dinosaurs or mammoths.
However, tales of giant humans across the earth, whether rooted in mythology, religion, or speculative history, continue to intrigue us. From America to Africa, and from the annals of the Smithsonian to the pages of the Christian Bible, the concept of giants weaves a complex tapestry of intrigue, belief, and scholarly curiosity. Whether these stories emerge from real giants or are simply metaphors within cultural histories, they remain a compelling part of our collective narrative.